Veneers
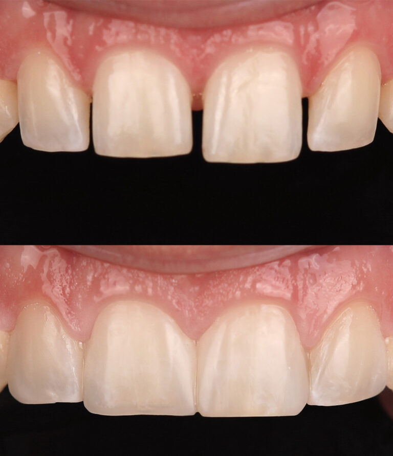
Diese Veneers wurden von meinem Mentor Richard eingesetzt, als Veneers noch völliges Neuland waren. Sie haben die Jahre überdauert und waren sensationell für die damaligen ästhetischen Vorstellungen. Leider sind die Zähne mit der Zeit gewandert, länger und schief geworden.
Der Anspruch, den wir heute an Keramikveneers haben, hat sich verändert. Sie sollen hell und trotzdem natürlich, lichtdurchlässig und trotzdem nicht grau, Struktur besitzen und trotzdem glatt, auffällig und trotzdem unauffällig sein.
Herausforderungen für Zahnarzt und Zahntechniker.
Hier haben wir das Zahnfleisch korrigiert und all unser Können eingesetzt um Tanja happy zu machen.




Behandler Team
Dr. P
Dr. P
Leo
chirurgische Kronenverlängerung
Veneers
weitere Fallbeispiele
Hier sind einige unserer Fallbeispiele. Menschen, deren Leben wir mit unserer Arbeit zu einem besseren Lächeln verholfen haben.
Folge uns auf Social Media
@doctorpascu